Что за явление?
Это не заболевание, это следствие патологического процесса в основном детородном органе матки. Само это явление представляет собой локализацию солей кальция в определенной маточной области. Отметим, что кальцинаты могут возникать не только в этом органе, но и других органах, например, в печени. Таким образом, кальцинат – это не только гинекологическое заболевание, это патологический процесс, возникающий по причине нарушения нормального функционирования конкретного органа.
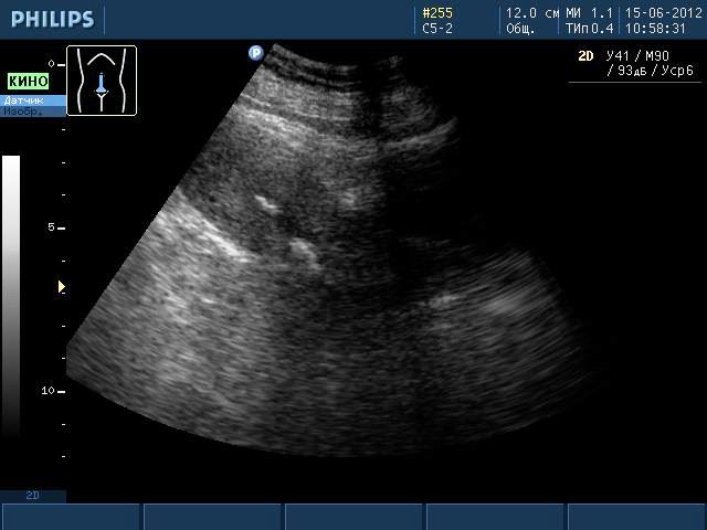
Такие образования хорошо видны при ультразвуковом исследовании, МРТ. Но во время УЗИ не видны ткани, из которых состоит образование, поэтому о наличии кальцината можно только предположить. Такая ситуация требует дополнительного обследования женщины, чтобы исключить заболевания гораздо серьезнее, чем наличие отложений солей кальция.
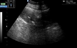
Кальцинат на УЗИ
Терапия и ее методики
Существует несколько методов лечения заболевания. Все зависит от состояния организма женщины. Если через год пациентка планирует стать матерью, лучше удалить образования. Существующие способы удаления:
- Если в яичнике обнаруживается желтое тело с кальцинатами, его удаляют хирургическим или лапароскопическим путем. Когда врачи считают, что образования мешают наступлению беременности, вынашиванию здорового плода, рекомендуют проведение операции.
- Беременность не планируется: можно обойтись медикаментозной терапией, подразумевающей прием препаратов курсами.
- Советуют соблюдать диету, ограничить количество потребляемого кальция, прекратить прием препаратов, содержащих макроэлемент.
Если по результатам анализа удается обнаружить воспалительный процесс, прописывают противовоспалительные препараты, антибактериальные средства, антисептические растворы.
Лечением занимается доктор, подбирает медикаменты индивидуально. Наибольшей эффективностью отличается комплексная терапия, включающая лекарства, способствующие выведению отложений кальция, диуретики.
При соблюдении диеты, отказа от продуктов, богатых макроэлементом, организм начнет компенсировать дефицит из собственных резервов.
Камни образуются медленно, ионы кальция копятся годами. Заподозрить наличие подобных нарушений сложно, практически невозможно. Поэтому не забывайте о профилактике, регулярно посещайте гинеколога, проходите УЗИ матки, яичников, это поможет избежать неприятных неожиданностей.
Кальцинаты в яичниках – частая находка при ультразвуковой диагностике у женщин, не имеющих жалоб и заболеваний. Только при выявлении кист и других новообразований отложение солей кальция имеет значение для дальнейшего обследования и лечения.
Содержание
Причины образования
Соли этого микроэлемента находятся в нашем организме, и это нормально. Кальций участвует в обменном процессе внутри клеток, насыщает определенные ткани и так далее. Если его не хватает в женском организме, возникают такие явления, как выпадение волос, ломкость костей, разрушение зубов, нарушение функционирования организма. Наличие в организме чрезмерного количества этого микроэлемента также приводит к патологиям, например, задержка мочи, отложение в разных органах.
Что такое кальцинаты в матке, и в чем их причина? Ответ прост: отложения кальция в матке возникают по причине перенесенного воспалительного заболевания этого органа. Таким образом, организм защищается, перерождая хронически пораженные ткани в кальциевые отложения, препятствуя распространению патологического процесса дальше.
Причиной возникновения кальцината часто служит воспаление в матке
Диагностика
Распространенным методом диагностики является ультразвуковое исследование детородного органа. Гинекологи предлагают трансабдоминальное УЗИ, которое позволяет исследовать патологии органа с помощью датчиков, которые врач водит по животу пациентки.
Также специалист может предложить дополнительные методы диагностики, если в этом есть необходимость:
- трансвагинальное УЗИ, позволяющее исследовать орган ближе, особенно во время беременности;
- гистерография – исследование органов малого таза с помощью введения контрастного вещества, бывает рентгенологическим и ультразвуковым;
- доплерография;
- трехмерное УЗИ – современный способ диагностики патологий матки, который позволяет в трехмерном измерении увидеть кальцинаты;
- анализ крови на определение общего количества кальция.
Трехмерное УЗИ на сегодняшний день является самым достоверным способом диагностики заболеваний матки, но его цена значительно выше остальных методов.
Опасность
Опасно ли наличие кальциевых отложений? – вопрос, интересующий всех женщин, у которых они обнаружены. Особенно волнует он женщин, желающих в скором времени забеременеть.
Мы уже поняли, что возникновение таких отложений самостоятельным заболеванием не являются, но свидетельствуют о наличии или результате воспалительного процесса в матке. Для определения состояния женского организма в результате возникновения кальцинатов, необходимо дополнительное обследование. Определить нужно первопричину возникновения таких образований.
Уже после дополнительной диагностики станет понятно, является ли это угрозой для репродуктивного здоровья женщины. Часто на обычном УЗИ кальцинаты в детородном органе путают с полипами. Полипы угрожают женщине постоянными кровотечениями и патологиями беременности.
Матка у будущей мамы должна естественно растягиваться. Но с кальциевыми образованиями она лишена такой возможности, изменения размера этого органа будут сопровождаться болевыми ощущениями. Но также существуют данные о нормальном течении беременности с наличием подобных образований. Каждый случай индивидуален, и должен быть под наблюдением врача.
Лечение
Для лечения патологии используются все необходимые диагностические методы, так как кальциевые новообразования – это не причина, а следствие. После определения причины гинекологи лечат основное заболевание или его последствия.
Какие меры применяются в лечении этой патологии?
- Хирургическое вмешательство. Проводится крайне редко, так как эти отложения не стоят операционных повреждений тканей репродуктивного органа. Нужно еще учитывать риск кровотечения после операции на матке. Для хирургического вмешательства должны быть четкие показания, когда никакой другой метод уже не эффективен.
- Выскабливание. При такой патологии эта манипуляция эффективна, но после нее кальцинаты могут возникать повторно.
- Сбалансированное питание и своевременное лечение воспалительных процессов в детородном органе – это скорее уже профилактические методы, так как они направлены на предотвращение кальциевых отложений, а не на их удаление.
- Препараты для рассасывания таких образований не применяются. Врач может назначить водяной перец и несколько уколов окситоцина для того, чтобы кальцинат отсоединился от стенки матки, и она своими сокращениями его вытолкнула. Но любое лечение должно проводиться под наблюдением врача.
Вопрос профилактики
Профилактика кальциноза в отношении матки может выражаться в здоровом, полноценном, сбалансированном питании. Никто не будет спорить: творог – действительно питательная еда, как и многие другие продукты, содержащие в себе кальций.
Вывод
Кальциевые образования в матке приводят в замешательство женщин, причиняя определенны трудности в функционировании органа. Любые мероприятия по диагностике образований и их удалению или лечению согласовываются с врачом. Нельзя заниматься самолечением, так как кальцинаты на обычном УЗИ можно перепутать с полипами.
В медицинской практике кальцинаты определяют как отложения кальциевых солей. Причем происходить это может в полости различных органов. Нередко кальцинаты в матке обнаруживаются.
Матка является непарным полым органом, который состоит из трех слоев. Внутренним слоем является эндометриальный, представленный мощными мускулами. Наиболее широкий средний слой – миометрий. Наружным отделом маточной структуры является брюшина.
Описание
Кальцинаты в матке в разы чаще встречаются, нежели на брюшинном слое или в миометрии. Также нередко они обнаруживаются на маточной шейке. В каждом из таких случаев кальцинат представляет собой определенного рода защитную реакцию организма. Соли, имеющие неорганические свойства, инкапсулируют участки, в которых наблюдается распад тканей. Тем самым предотвращается распространение процесса некротизации на другие участки. Образование кальциевых отложений имеет вторичный характер, заболеванием в полном смысле этого понятия не является.
Очень распространены кальцинаты в матке. Медицинская статистика сообщает, что кальциевые отложения формируется примерно у 30% всех женщин, причем в большей части случаев процесс протекает без каких-либо внешних проявлений.
Терапия
Кальцинат в медицинской практике определяется как отложение солей кальция в области какого-либо органа. Кальцинат в матке, что это такое?
Для начала необходимо понять, как устроена сама маточная структура. Матка представляет собой непарный полый орган, состоящий из трех слоев. Внутренний слой — эндометриальный, средний, наиболее широкий представлен мощными мускулами, это миометрий. Наружный же отдел маточной структуры — брюшина.
В полости матки кальцинаты встречаются в разы чаще, чем в миометрии и на брюшинном слое. Могут быть кальцинаты на шейке матки. Во всех случаях, кальцинат выступает своего рода защитной реакцией организма. Соли неорганического свойства инкапсулируют участки распада тканей, тем самым предотвращая распространение некротического процесса далее. Отложение солей кальция всегда вторично и болезнью в полном смысле этого слова не является.
Распространенность формирования кальциевых отложений в матке весьма велика. В медицинской статистике речь идет о цифре в 25-30% всех женщин. Поскольку в большинстве случаев протекает становление подобного образования бессимптомно. Что же нужно знать о кальцинатах и их природе?
Причины образования
Все причины возникновения кальциевых отложений можно условно подразделить на несколько групп. В первую группу включены так называемые триггерные факторы возникновения, то есть те, которыми непосредственно обусловлено становление кальцината. Среди них:
- Поражения органов, расположенных в малом тазу, травматического характера. К таким поражениям относятся в том числе диагностические выскабливания, аборты хирургического характера, гистероскопии и другие схожие манипуляции. Они приводят к повышению вероятности инвазии маточных тканей патогенными микроорганизмами. Наибольшую опасность представляют собой полостные операции, проводимые на органе.
- Предрасположенность к развитию инфекционно-воспалительных поражений генетического и другого характера. К примеру, эндометриоз или эндометрит могут развиваться под воздействием отягощенной наследственности. Если у женщины имеется хотя бы одна больная родственница по восходящей линии в пяти поколениях, то вероятность возникновения кальциноза у женщин увеличивается до 30%, если же присутствуют две больные родственницы, то вероятность возрастает до 50%. К счастью, доминантным или аутосомно-рецессивным способом патология не наследуется. Передаваться могут только особенности системы репродукции.
- Стеноз цервикального канала и половых путей. Подобные нарушения становятся причиной рефлюкса менструальной крови и других выделений обратно в полость матки, в результате чего происходит застой этих веществ, в итоге значительно повышается вероятность развития инфекционного поражения (чаще всего — эндометрита).
- Плохие экологические условия в месте проживания женщины. Под воздействием экологических факторов может развиваться аденомиоз, являющийся фактором риска скопления солей кальция.
- Нарушения менструального цикла. В полости влагалища присутствует большое количество разнообразных бактерий, причем некоторые из них обладают патогенностью, способны поражать ткани и органы (вирус папилломы человека, герпетические агенты, микоплазмы, уреаплазмы, стафилококки, стрептококки и другие представители пиогенной флоры). При задержке менструации происходит застой крови, что способствует формированию среды, комфортной для размножения бактериальных агентов.
- Аллергические реакции на воздействие внутренних и внешних факторов. Чаще всего в подобном случае имеется в виду алиментарная причина, то есть неправильное питание и поступление антигенов в системный кровоток.
- Чрезмерно раннее или позднее начало половой жизни. Нежелательными для женского здоровья являются оба варианта. При позднем начале половой жизни повышается агрессивность микроорганизмов. При чрезмерно раннем – инициируются дистрофические процессы в органах малого таза. В результате повышается риск становления кальцинатов.
- Поздние роды. Могут сказываться негативным образом на состоянии матки, нередко вызывают анатомические изменения, способные приводить к отмиранию маточных тканей (полному, частичному).
- Патологические изменения в эндокринной системе. К ним относится также сахарный диабет, нарушения деятельности гипоталамуса, гипофиза, гипертиреоз, гипотиреоз и другие патологии.
- Патологические изменения в репродуктивной системе. В первую очередь провоцирующими факторами являются инфекционные заболевания: аднекситы, эндометриты и другие.
- Рубец на матке после кесарева. Кальцинаты могут возникать на рубце, который возник вследствие полостных операций на органе.
- Снижение местного, общего иммунитета. Неблагоприятная экология, стрессы, тяжелые физические нагрузки (провоцирующие избыточную продукцию кортикостероидов), частые вирусные респираторные болезни, переохлаждения.
Кальцинат в яичнике что это
Про анэхогенное образование в яичнике надо знать, что это такое состояние, при котором сонолог определяет включение с жидким содержимым.
Оно не является самостоятельным заболеванием и не может стать диагнозом. Этот термин необходим для описания визуализирующейся картины.
Окончательные выводы и назначения, основанные на результате ультразвукового исследования выполняет специалист.
Поэтому если обнаружено анэхогенное включение в матке, яичнике или любом другом органе, не надо поддаваться панике и пытаться самостоятельно интерпретировать патологический процесс с его причинами.
Если обнаружено анэхогенное образование в яичнике, то это обозначает, что в полости половой железы располагается структура, которая не отражает ультразвуковые волны.
Чем ниже эхогенность включения, тем больше в нем жидкости. Во время ультразвукового сканирования могут быть обнаружены:
гиперэхогенные образования в яичникегипоэхогенные включения в яичникеизоэхогенное образование яичника
| структуры, отражающие ультразвуковые волны; |
| образования, не отражающие ультразвук; |
| естественные структуры для данного органа. |
По своей структуре обнаруженная опухоль может быть аваскулярным образованием в яичнике или иметь кровоток, толстостенным или тонкостенным, с неоднородным содержимым, однокамерным или двухкамерным.
Эти и другие дополнительные показатели позволяют дифференцировать патологический процесс и определить его серьезность.
Анэхогенное образование может быть обнаружено во многих органах и железах человеческого организма (щитовидка, матка, грудь, почки и так далее). Однако чаще всего оно появляется в яичниках у женщин.
Анэхогенная структура в придатках
Обнаружение анэхогенной кисты яичника случается довольно часто. Зачастую опухоль не доставляет женщине беспокойства и выявляется во время очередного обследования.
Опухолевые процессы в половых железах следует правильно дифференцировать. Помогает это сделать оценка дополнительных характеристик.
Анэхогенная жидкость в яичнике может быть признаком патологического процесса в органе или являться нормальным состоянием. В определенные дни менструального цикла функционирование половых желез сопровождается возникновением таких структур.
Желтое тело
Обнаруженное в правом яичнике жидкостное образование зачастую является желтым телом.
Оно не доставляет пациентке дискомфорта и проходит самостоятельно. На УЗИ визуализируется во второй половине менструального цикла.
Киста желтого тела – это желтое тело большого размера.
Оно возникает на месте раскрывшегося фолликула после выходя яйцеклетке и является поставщиком прогестерона.
Желтое тело в яичнике большого размера может проявляться задержкой менструации и нередко вырастает во время беременности.
Никакого лечения данное новообразование не требует, если не осложняется апоплексией или кровоизлиянием.
Кисты
Если рядом с яичником визуализируется образование, то это может быть киста. Опухолевые процессы делятся на функциональные и нефункциональные.
Последние обычно требуют врачебного вмешательства и могут сопровождаться клиническими проявлениями: боли, нарушения менструального цикла, бесплодие.
На УЗИ можно выявить следующие виды кист:
- Фолликулярная киста – переросший фолликул, который уже не сможет совулировать;
- Киста желтого тела – источник прогестерона, образующийся после овуляции;
- Геморрагическая – возникает при кровоизлиянии в функциональную опухоль;
- Эндометриоидная – возникает в результате разрастания функционального слоя матки за ее пределами;
- Дермоидная – содержит соединительную ткань, зачастую является врожденной;
- Муцинозная – наполнена слизью, является доброкачественной эпителиальной опухолью;
- Серозная – содержит жидкость, а ее поверхность представлена серозным эпителием;
- Герминогенная – характеризуется большими размерами.
Эпителиальные новообразования в полости яичников могут иметь доброкачественное, злокачественное или пограничное течение.
Паровариальная киста имеет особенность располагаться не в яичнике, а рядом. Гомогенная опухоль обнаруживается чаще, а негомогенное включение может иметь неблагоприятные прогнозы.
Зависимость вида кисты и механизма возникновения, состава патологической жидкости
По какой причине происходит изменение эхоструктуры яичника сказать однозначно нельзя. Решающую роль в этом процессе играют физиологические и патологические факторы, которые могут иметь временное или постоянное присутствие.
Предполагается, что причины образования анэхогенной структуры могут быть следующими:
- воспалительные заболевания, вызывающие постоянную гиперемию половых желез;
- дисгормональные состояния;
- внутриутробное зарождение образований, который в определенный момент времени начинают расти;
- органические заболевания малого таза;
- хирургические вмешательства;
- начало менструации при половом созревании;
- объясняющиеся временем (во время менструации).
Функциональные образования
Причины формирования функционального жидкостного образования в левом яичнике или правом являются гормональными.
Киста желтого тела и фолликулярная вырастают под влиянием циклических изменений в половых железах.
Таковые встречаются у пациенток репродуктивного возраста и обычно не имеют симптоматики.
Наполнена жидкостью и содержит в себе яйцеклетку. Она возникает из-за недостаточной выработки гормона, запускающего процесс овуляции.
Функциональное новообразование исчезает в течение 2-3 циклов самостоятельно и обычно не доставляет беспокойства.
Органические образования
Опасны анэхогенные включения в яичниках, имеющие органическое происхождение.
Такие опухоли не проходят самостоятельно и нередко нуждаются в оперативном лечении. Терапевтическая тактика определяется в зависимости от их типа.
Паровариальные образования
Паровариальные включения вырастают не в самом яичнике, а на связочном аппарате и в определенных ситуациях могут достигать больших размеров. Зачастую такие новообразования имеют ножку и способность осложняться перекручиванием.
Известны случаи, когда паровариальные опухоли рассасывались самостоятельно. На сегодняшний день не известно истинных причин таких формирований.
Считается, что они не являются самостоятельным заболеванием, а развиваются из-за определенных факторов.
Анэхогенное включение при беременности
Новообразование анэхогенного типа может определяться в период беременности. Зачастую оно становится желтым телом и является нормой.
Без данной опухоли прогрессирование беременности невозможно, поэтому будущей маме не следует переживать. К завершению второго триместра включение рассосется полностью.
Также будущие мамы могут столкнуться с формированием других видов опухолевых процессов. Важно дифференцировать кисту и при необходимости оказать помощь пациентке.
Под влиянием измененного гормонального фона киста яичника может увеличиваться или, напротив, регрессировать.
Диагностические методы
Заподозрить кисту в яичнике у женщины можно во время гинекологического осмотра, когда определяется увеличенный яичник.
Подтвердить подозрения врача поможет ультразвуковое исследование.
НАШИ ЧИТАТЕЛИ РЕКОМЕНДУЮТ!
Для лечения щитовидки наши читатели успешно используют Монастырский чай. Видя, такую популярность этого средства мы решили предложить его и вашему вниманию. Подробнее здесь…
На сегодняшний день оно считается самой доступной методикой обследования. Если УЗИ не дает ясности создавшейся картины, то пациентке назначаются дополнительные исследовательские манипуляции:
- анализ на гормоны;
- компьютерная или магнитная томография;
- лапароскопия;
- пункция содержимого.
Как проводится лечение
В зависимости от характера новообразования пациентке назначается соответствующее лечение.
Органические включения и паровариальные опухоли зачастую подвергаются хирургическому лечению с последующей гормональной терапией.
//www.youtube.com/watch?v=D7PLBIC_ZEk
Важно установить причину данных нарушений и исключить ее влияние в будущем.
полов
Функциональные кисты обычно не требуют лечения. Если они начинают проявляться клинически, то пациентке назначается гормональная коррекция, предусматривающая временное отключение яичников.
Операция при функциональных кистах проводится крайне редко.
Народные методы
Нетрадиционные методики лечения сводятся к использованию фитопрепаратов для регулирования гормонального фона.
Такие средства, как боровая матка, шалфей, красная щетка и родиола могут повлиять на естественный гормональный фон.
Нетрадиционные методы лечения имеют успех при функциональных кистах и иногда помогают при паровариальном образовании. Если речь идет об органических опухолях, то никакие бабушкины рецепты не помогут.
Возможные осложнения
Осложниться киста яичника может в любом виде, но чаще это происходит с паровариальными и органическими образованиями. Большие кисты, как маленькие, могут разрываться.
Это состояние называется апоплексией и сопровождается сильным внутренним кровотечением. Пациентке в этот момент необходима экстренная медицинская помощь.
Перекрут – еще одно осложнение. В этом состоянии полость опухоли поворачивается, что вызывает нарушение кровообращения.
У женщины возникают сильнейшие боли в животе и может случиться шок. Данное состояние также требует незамедлительной помощи.
Профилактические мероприятия
Специфической профилактики анэхогенного включения яичника не существует. Для предотвращения формирования новообразования необходимо следить за своим здоровьем, а при появлении проблем вовремя обращаться к гинекологу.
Если опухоль уже обнаружена, то необходимо регулярное наблюдение за ее состоянием. Если в течение нескольких циклов гормонального лечения патология не регрессирует или киста, напротив, начинает расти, то необходимо проводить хирургическое лечение.
Дальнейший прогноз относительно состояния здоровья пациентки определяется своевременностью лечения и видом кисты яичника.
Источник: //1shchitovidka.ru/shhitovidnaya-zheleza/kaltsinat-v-yaichnike-chto-eto/
Косвенные факторы
Ко второй группе причин возникновения патологии принято относить факторы, которые косвенно обуславливают начало процесса формирования отложения. Среди них выделяют:
- Злоупотребление алкоголем, табакокурением. Данные факторы негативно отражаются на состоянии тканей, иммунитета.
- Нерациональное питание, способствующее снижению иммунитета.
- Интенсивная потеря кальциевых ионов из костных структур.
- Ожирение. Наличие избыточной массы тела представляет собой фактор повышенного риска.
- Повышенный уровень кальциевых солей в крови. Такая ситуация является ненормальной, она чревата развитием кальциноза не только в матке, но и в других органах и тканях. Данный фактор нередко является провоцирующим при образовании кальцинатов в молочных железах, предстательной железе, почках, легких, аорте. Матка в данном случае подвергается нарушениям реже, однако в каждом таком случае можно говорить о множественных поражениях органа.
- Стрессовые ситуации. На фоне стресса снижается общий, местный иммунитет, так как происходит усиленная выработка кортизола, адреналина, норадреналина надпочечниками.
Перечисленные факторы не являются единственными, провоцирующими возникновение кальцинатов. Это следует учитывать при определении этиологии недуга.
Что такое кальцинаты, теперь понятно. Рассмотрим симптоматику.
Симптоматика
Кальцинаты в матке практически не проявляют себя какой-либо симптоматикой. Свидетельствовать о процессе отложения солей может присутствие слабых тянущих болей внизу живота.
Но, как правило, в большинстве случаев кальциевые отложения обнаруживаются инцидентально при проведении исследований по поводу других патологий или состояний. Чаще всего при кальцинозе выявляются симптомы основной патологии, которая стала провокатором становления кальцинатов.
В этом случае перечень вероятных симптомов очень обширен. Практика показывает, что чаще всего причиной становятся эндометрит и эндометриоз. Именно эти два заболевания обуславливают начало кальцификации.
Запись к гинекологу в женскую консультацию следует сделать в том случае, если возникло подозрение на развитие патологии.
Комментарии пользователей
У вас тоже были кальцинаты по узи в яичниках и трубы оказались непроходимы? И при этом никаких воспалений в жизни не было ?
Я не про кальцинаты. А про то что от воспалений могут быть не проходимы трубы. Воспаления не всегда видно. А вы биопсию эндометрия делали? Может у вас эндометрит например. Это раз. А два, ИППП были?
У меня было воспаление трубы. Которое никак не видно кроме как на лапароскопии
