Екатерина Данилова
Нам всегда хочется жить лучше, а получается только веселее
calendar_today
2 февраля 2017
visibility
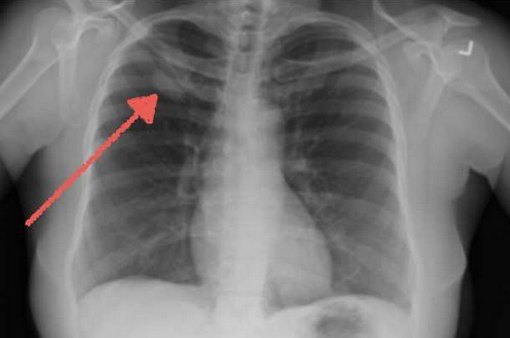
Центральный рак легкого — это злокачественное образование, развивающееся в крупных бронхах легочной системы. Оно может появиться в главном, долевом или сегментарном бронхе и дать метастазы в различные области организма, от печени и надпочечников до пищевода и мозга.
Этот вид онкологических заболеваний является самым распространенным среди видов рака легких — на его долю приходится 70% случаев, тогда как на периферический рак, поражающий менее крупные бронхи, всего 30%. В более широком смысле рак легкого центрального типа является одним из наиболее часто встречающихся типов злокачественных опухолей среди всех существующих.
Наиболее распространенная причина — активное курение. После нескольких лет выкуривания по 2 пачки сигарет в день вероятность для курильщика заболеть этим раком увеличивается в 25 раз.
Этиология
- курение;
- чрезмерное потребление спиртных напитков;
- систематическое употребление в пищу жирного, острого, солёного и фастфудов;
- экологические особенности места проживания (расположенные вблизи промышленные объекты, плохая экологическая ситуация в целом);
- вдыхание токсических веществ;
- длительная гормональная терапия;
- хронические заболевания лёгких;
- генетическая предрасположенность.
Следует отметить, что умеренно дифференцированная аденокарцинома лёгкого может развиваться и у людей с минимальным стажем курения или у тех, кто не курит вовсе. При ослабленной иммунной системе достаточно быть пассивным курильщиком, для того, чтобы находиться в зоне риска.
Классификация рака легкого
На практике аденокарциному легких принято разделять на:
- Высокодифференцированную
- Умеренно-дифференцированную
- Малодифференцированную
- Бронхоальвеолярную
Согласно детальной классификации рака легких аденокарцинома бывает:
- Ацинарная
- Папиллярная
- Бронхиолоальвеолярная
- Немуцинозная
- Смешанная муцинозная и немуцинозная или неопределенный клеточный тип
- Солидная аденокарцинома с муцином
- Аденокарцинома со смешанными подтипами
- Высокодифференцированная фетальная аденокарцинома
- Муцинозная (коллоидная) аденокарцинома
- Муцинозная цистоаденокарцинома
- Перстневидно-клеточная аденокарцинома
- Светлоклеточная аденокарцинома
Чаще встречаются аденокарциномы смешанного типа, в таком случае гистолог указывает, клетки какого типа присутствуют в большем количестве в опухоли. Подробная классификация рака легких помогает онкологам подобрать оптимальное соотношение в объеме операции, химиотерапии и облучения.
Важно разделять опухоли легкого не только по гистологическому отличию клеток, но и по анатомическому расположению. Так выделяют:
- Прикорневой центральный рак
- Периферический рак
- Массивный (смешанный)
Злокачественная опухоль может прорастать в просвет бронха (экзофитно), а может распространяться вглубь ткани (расти эндофитно), что хуже в плане благоприятного прогноза, ведь опухоль диагностируется значительно позже.
По степени дифференцировки различают следующие формы недуга:
- умеренно дифференцированные;
- высокодифференцированные;
- низкодифференцированные.
К высокодифференцированной форме относят недуги с активным образованием слизи. Для умеренной формы характерно развитие железисто-слизистого строения. Низкодифференцированная аденокарцинома лёгкого характеризуется наличием слизеобразующих полигональных клеток.

Также в зависимости от обширности поражения различают четыре стадии развития онкологического процесса:
- первая — метастазы отсутствуют, размер опухоли не более 3-х сантиметров;
- вторая – размер опухоли достигает 6 сантиметров, диагностируется наличие метастазов в бронхопульмональных узлах;
- третья – размер опухоли более 6 сантиметров, онкологический процесс захватывает всю долю лёгкого;
- четвёртая – опухолевый процесс распространяется на второе лёгкое, начинается развитие ракового плеврита.
Лечение наиболее эффективно при первой-второй стадии развития лёгочного недуга. Если у больного диагностируется четвёртая степень болезни, то о полном выздоровлении речь не идёт вовсе. Терапия в таком случае направлена на поддержание жизнедеятельности пациента.
Аденокарцинома является гистологическим вариантом немелкоклеточного рака лёгкого. По структуре различают стелющиеся, ацинарные, папиллярные, солидные и микропаллярные образования. К атипичным формам опухоли относятся коллоидная, фетальная и кишечного типа. В зависимости от наличия или отсутствия слизеобразования выделяют муцинозный и немуцинозный варианты железистого рака. По распространённости процесса аденокарцинома лёгкого бывает:
- Преинвазивная. Представлена одиночным образованием до 3 см в диаметре со стелющимся типом роста. Инвазия стромы, сосудов или плевры отсутствует.
- С минимальной инвазией. Минимально инвазивная аденокарцинома отличается от предыдущего варианта наличием стромальной инвазии не более 5 мм.
- Инвазивная. Размеры опухоли больше 3 см. Степень инвазии превышает 0,5 см. Новообразование прорастает сосуды или плевру. Присутствует опухолевый некроз.
Клиническая классификация рака легкого базируется на локализации опухолевого очага:
- Центральный рак легкого характеризуется поражением прикорневых отделов легкого, поражает бронхи крупного калибра (главные и долевые). Это приводит к сужению просвета бронха, нарушению его дренажной функции и, следовательно, спадению легочной ткани (ателектазу). Ателектазы зачастую осложняются пневмонией, что может маскировать и затруднять диагностику опухоли.
- Периферический рак легкого характеризуется поражением сегментарных бронхов, терминальных бронхиол и альвеол. Растет достаточно медленно и бессимптомно, зачастую диагностируется только при случайном обследовании или на поздних стадиях при распространении опухоли за пределы легкого.
Гистологическая классификация базируется на типе клеток, из которых построена опухоль:
- Плоскоклеточный рак развивается из метаплазированного плоского эпителия в результате хронического раздражения слизистой бронха дымом, пылью или смолами.
- Мелкоклеточный рак, или нейроэндокринная карцинома.
- Аденогенный рак (аденокарцинома развивается из железистого эпителия).
- Крупноклеточный рак развивается из клеток субсегментарных бронхов.
Каждый гистологический вариант имеет свои особенности, прогноз, клиническую картину и подходы к лечению.
Стадии заболевания
Стадия опухоли легкого определяется по ее размерам и наличию метастазов.
Классификация аденокарциномы легкого по стадиям представлена в таблице:
| Стадия | Размер опухоли | Распространенность | Метастазы |
| Первая | До 3-х см | Сегмент легкого или сегментарный бронх | Нет |
| Вторая | До 6 см | Сегмент легкого | В бронхопульмональные лимфоузлы |
| Третья | Более 6 см | Доля легкого или долевой бронх | В лимфоузлы трахеи, медиастинальной клетчатки |
| Четвертая | Занимает все легкое | Соседнее легкое, другие органы грудной клетки | Раковый плеврит, метастазы в другие органы |
Также новообразование классифицируют по степени дифференцировки клеток:
- высокодифференцированные — железистые клетки, вырабатывающие слизь;
- средней дифференцировки — железистые и солидные клетки;
- низкодифференцированные — солидные клетки.
Опухоль дает метастазы в печень, кости, надпочечники, головной мозг.
Причины развития аденокарциномы легких
Мужчины болеют аденокарциномой в 3 раза чаще женщин. Это свидетельствует о роли внешних факторов среды и курения в развитии данного агрессивного заболевания. К неблагоприятным факторам относятся:
- Курение (80% больных — курильщики)
- Чрезмерное употребление алкоголя
- Работа или проживание вблизи крупных промышленных предприятий
- Запыленность окружающей среды
- Работа на вредных предприятиях с регулярным вдыханием асбеста, продуктов горения, радона
- Повышенный радиационный фон
- Хронические заболевания легких
- Наследственность
Некоторые онкологи выделяют среди факторов риска возраст. Действительно, хотя аденокарцинома встречается и у молодых людей, болеют преимущественно мужчины после 60 лет. Генетические сбои в работе клеток с возрастом учащаются, а если усилить это все регулярным воздействием канцерогенов — ничего хорошего ждать не приходится.
Среди причин развития рака легких выделяют:
- Курение (как активное, так и пассивное) является главной и достоверно подтвержденной причиной рака легкого. Известно, что при табакокурении в организм попадает более различных 40 канцерогенов. Риск развития рака легкого в 11 раз больше у курящих, нежели у некурящих.
- Вредные профессиональные воздействия: контакт с асбестовой пылью, тяжелыми металлами и ядохимикатами.
- Загрязнения атмосферного воздуха.
- Генетическая предрасположенность (при наличии у близких родственников рака легкого риск заболеваемости резко возрастает).
- Общее состояние человека. Мужчины старше 40-45 лет с сопутствующими легочными заболеваниями (хронический бронхит, ХОБЛ, затяжные пневмонии, очаговый и диффузный пневмосклероз или туберкулез) особенно склонны к развитию карциномы легкого.
В патогенезе легочного рака выделяют три этапа. На первом этапе канцероген воздействует на ДНК эпителиальных клеток, изменяя и перестраивая ее геном, что ведёт к образованию раковой клетки. На втором этапе после повторной встречи с провоцирующим фактором измененная клетка активизируется и начинает бесконтрольно размножаться, образуя опухолевый узел. На третьем этапе опухоль распространяется на соседние структуры: плевру, средостение, перикард — приобретает способность к метастазированию.
Причины неопластического процесса до конца не изучены. Основным этиологическим фактором считается активное и пассивное табакокурение. Вероятность опухолевого роста зависит от интенсивности и стажа курения. Некоторые авторы статей по онкологии и пульмонологии связывают увеличение заболеваемости железистым раком с высоким содержанием нитрозаминов в табачном дыме, образующемся при употреблении популярных лёгких «низкосмольных» сигарет.
Факторы риска
К прочим факторам риска возникновения патологии относятся:
- Загрязнение воздуха вредными веществами. Включает неблагоприятную экологию, индустриальные и производственные вредности. Установлена связь развития железистых новообразований респираторного тракта с вдыханием асбестсодержащей пыли. Аденокарцинома лёгкого часто выявляется у больных, длительно контактировавших с радоном, солями тяжёлых металлов и дизельным топливом.
- Генетическая предрасположенность. В пользу наследственной предрасположенности к формированию лёгочного рака говорят случаи возникновения данной патологии у нескольких поколений кровных родственников. Семейная аденокарцинома формируется при наследуемых особенностях ферментов метаболизма канцерогенов и генетически обусловленных нарушениях репарации ДНК.
- Эндогенные предпосылки. Аденокарцинома лёгкого нередко образуется в области участков пневмофиброза, исходит из рубцовой ткани. Подобные опухоли часто наблюдаются у больных туберкулёзом, лиц с посттуберкулёзными и поствоспалительными изменениями органов дыхания. Возникновению новообразования способствует иммуносупрессия.
Симптоматика
На начальной стадии развития заболевание, в большинстве случаев, протекает бессимптомно. Также клиническая картина может отличаться от общих признаков, в зависимости от локализации опухоли и стадии поражения.
По мере развития патологии могут появляться такие симптомы:
- продолжительный кашель с выделением мокроты, которая имеет неприятный запах;
- дискомфорт и боли в области грудной клетки;
- нехватка воздуха;
- нестабильная температура тела;
- отёк лица и в области шеи;
- быстрая утомляемость;
- потеря аппетита и, как следствие, резкая потеря массы;
- хрипота в голосе;
- увеличенные лимфоузлы;
- частые плевриты.
Если происходит быстрое разрастание опухоли, то у больного может развиться лёгочное кровотечение. При такой клинической картине следует незамедлительно обратиться за медицинской помощью. Самолечение строго противопоказано.
Химиотерапия
Еще одним методом лечения является химиотерапия. Это использование препаратов с цитостатическим действием, разрушающих раковые клетки. Используются такие лекарства, как:
- Цисплатина;
- Карбоплатина;
- Винкристин;
- Доцетаксел.
Препараты используются для приема внутрь или в виде внутривенных инъекций. Дозировка и курс лечения рассчитываются лечащим врачом индивидуально, в зависимости от массы тела и роста. Препараты довольно токсичны, поэтому дозировку нужно подбирать с большой точностью.
Химиотерапия приводит к развитию большого количества побочных эффектов:
- снижение иммунитета;
- нарушение свертываемости крови;
- развитие анемии;
- выпадение волос, сухость кожи, ломкость ногтей;
- диспептические явления в виде тошноты и рвоты;
- воспаление слизистых оболочек.
После окончания химиотерапии побочные эффекты постепенно исчезают.
Большое значение имеет образ жизни пациента. Вне зависимости от стадии заболевания пациентам рекомендуют:
- отказ от вредных привычек, особенно это касается курения;
- соблюдение принципов рационального питания;
- адекватная физическая нагрузка;
- соблюдение режима труда и отдыха;
- полноценный сон.
Патогенез
Под влиянием канцерогенов происходят многочисленные генные мутации, приводящие к бесконтрольному делению изменённых клеток железистого эпителия. Аденокарцинома чаще поражает периферию лёгкого. Она растёт медленнее плоскоклеточного рака, но раньше метастазирует. По мере увеличения в размерах опухоль прорастает плевру, перикард, диафрагму, распространяется на средостение, соседнюю лёгочную долю. В патологический процесс могут вовлекаться трахея, пищевод и позвоночник.
Аденокарцинома лёгкого метастазирует лимфогенным и гематогенным путями. Первично поражаются перибронхиальные лимфатические узлы, затем – лимфоузлы бифуркации трахеи и средостения, в последнюю очередь – противоположного лёгкого. Гематогенные метастазы обнаруживаются в плевре, перикарде. На поздних стадиях болезни секундарные изменения чаще всего выявляются в головном мозге, костях и печени. Макроскопически неоплазия выглядит как желтовато-бурый или серый на разрезе узел.
Диагностика аденокарциномы легкого
Своевременная диагностика рака легких — залог благоприятного прогноза на жизнь. Декретированным контингентам населения рекомендовано регулярно проходить флюорографическое обследование органов грудной клетки, которое предназначено для скрининга рака и туберкулеза. Но в последнее время эффективность данного обследование ставится под сомнение, ведь при помощи ФГ ОГК чаще удается диагностировать рак на поздних стадиях.
Зарубежные онкоклиники в полной мере придерживаются рекомендаций ВООЗ по обязательному комплексу обследований для диагностики аденокарциномы на ранней стадии. В перечень наиболее популярных и эффективных методов входят:
- Рентгенография органов грудной клетки (наиболее доступный метод при меньшем облучении в сравнении с флюорографией)
- КТ или МРТ
- ПЭТ
- Анализ мокроты на атипичные клетки (раковые)
- Бронхоскопия с биопсией
- Комплекс общих и расширенных анализов на онкомаркеры
Окончательный диагноз ставит гистолог на основе изучения полученного материала раковой ткани посредством прицельной биопсии.
В ранней диагностике аденокарциномы легкого огромное значение имеет бронхоскопия. Именно при помощи гибкого бронхоскопа можно визуально осмотреть просвет пораженного бронха, точно выполнить биопсию (забор ткани). За границей бронхоскопия выполняется под седацией. Больной спит крепким сном и не ощущает дискомфорта, находясь под анестезией.
Диагностикой заболевания занимаются врачи-онкологи, пульмонологи. При опросе пациента уточняются интенсивность и стаж табакокурения, профессиональный маршрут, учитывается семейный анамнез. Осмотр и физикальное исследование в начальной стадии болезни малоинформативны. В запущенных случаях выявляются симптомы пневмонии, гипоксемии. Окончательный диагноз устанавливается на основании:
- Визуализационных методов исследования. На рентгенограмме лёгких просматриваются периферические участки инфильтрации с признаками опухолевого роста. КТ и МРТ грудной клетки помогают уточнить локализацию новообразования, выявить метастазы в регионарных лимфатических узлах, контрлатеральном лёгком. МРТ, ПЭТ КТ и остеосцинтиграфия применяются для определения удалённых секундарных изменений.
- Эндоскопической диагностики.Фибробронхоскопия даёт возможность визуализировать злокачественную опухоль в просвете бронхов крупного и среднего калибра, обнаружить признаки бронхостеноза. С помощью данного метода исследования осуществляется забор промывных вод, трансбронхиальная биопсия.
- Биопсия лёгкого. Позволяет дифференцировать аденокарциному лёгкого с другими видами бронхопульмональных опухолей, определяет степень ее дифференцировки и гистологический тип. Полученный при биопсии материал подвергается молекулярно-генетическому тестированию с последующим использованием результатов для назначения таргетной терапии.
Ранняя диагностика данного недуга позволяет практически полностью излечить пациента. Однако, это практически невозможно, так как на начальной стадии болезнь протекает бессимптомно.
Изначально врач проводит личный осмотр и выясняет анамнез больного, если это позволяет состояние его здоровья. Для точной постановки диагноза используют такие методы исследования:
- КТ и МРТ грудной клетки;
- общее и биохимическое исследование крови;
- цитологическое исследование мокроты;
- рентген грудной клетки;
- флюорография;
- биопсия;
- бронхоскопия;
- забор крови для теста на онкомаркеры.
По результатам анализов врач может точно определить подвид и стадию развития данного патологического процесса.
В основе диагностики лежит правильный и полноценный сбор анамнеза. Уточняются жалобы, длительность заболевания, собирается информация о сопутствующих заболеваниях и о предшествующих заболеваниях легких, о наличии вредных привычек, об условиях труда, бытовых и профессиональных вредностях, выясняется наличие онкологических заболеваний в семье.
Следующий этап диагностики — это объективное обследование, заключающееся во внешнем осмотре, пальпации лимфатических узлов и аускультации легких. При наличии клинической симптоматики, позволяющей предположить у пациента рак легкого, назначаются специальные методы обследования (инвазивные и не инвазивные).
Неинвазивные методы диагностики — это рентгенография органов грудной клетки, КТ и МРТ, УЗИ. Инвазивные методы — это трахеобронхоскопия (исследование бронхиального дерева — хорошо визуализируется центральный рак), торакоскопия (исследование плевральный полостей — хорошо визуализируется периферический рак), медиастиноскопия используется для исследования лимфатических узлов переднего средостения, диагностическая торакотомия — завершающий метод диагностики распространенности опухоли при неэффективности других, пункционная биопсия опухоли — обязательная процедура при всех инвазивных методах исследования.
Биопсия опухоли позволяет установить гистологический вариант рака легкого, что необходимо для определения прогноза и тактики лечения.
Рецидив
Рецидив центрального рака легкого — это возвращение злокачественного процесса спустя какой-то промежуток времени после проведенного лечения первичного онкоочага. Повторная опухоль отличается повышенной агрессивностью, если сравнивать с изначальным новообразованием. Чаще всего она возникает в ближайшие 2 года после терапии первичного рака.
Рецидив может затрагивать легочные ткани, средостение, бронхи, лимфатические узлы и даже отдаленные органы. По статистике, ситуация касается 40% пациентов после успешного лечения центрального рака легкого, причем в 20% случаев патология проявляется уже в первые 10 месяцев после выписки.
Лечение рецидива — задача сложная. Поскольку поражению подвергается сохранившееся легкое, заболевание становится неоперабельным. В основном используются методы лучевой и химиотерапии, но если они применялись ранее, чувствительность опухоли будет крайне снижена. Прогноз на выздоровление неблагоприятный.
Лечение
Объем лечебных мероприятий для каждого пациента подбирается индивидуально и зависит от общего состояния пациента, наличия сопутствующих заболеваний, клинико-анатомической и морфологической формы опухоли и стадии процесса (характеризуется размером опухоли, наличием метастазов, поражением соседних структур).
Основной метод лечения рака легкого — хирургический. Однако проводится оно не во всех случаях. Операция назначается преимущественно при узловом раке легкого при условии, если опухоль не распространяется на другие органы. При диффузном раке легкого хирургические операции проводятся редко.
Размер опухоли и её локализация будут определять объём операции. Существует три основных вида хирургического вмешательства при раке легких:
- лобэктомия — удаление доли легкого;
- пульмонэктомия — удаление целого легкого;
- клиновидная резекция — удаление сегмента или сегментов легкого.
Химиотерапию с применением противоопухолевых лекарственных средств, разрушающих опухолевые клетки, проводят пациентам с метастатическим поражением. Различные гистологические типы рака легкого имеют свою чувствительность к химиотерапии — мелкоклеточный рак высокочувствительный к химиопрепаратам, напротив, плоскоклеточный рак и аденокарцинома обладают меньшей чувствительностью.
Лучевая терапия может назначаться для лечения мелкоклеточного рака легкого на ранних стадиях (после или одновременно с химиотерапией).
Для лечения рака легкого в последнее время широко применяется таргетная терапия — лечение с помощью высокоспецифичных препаратов (Эрлотиниб, Б — Маб, Гефитиниб), блокирующих размножение и функционирование только опухолевых клеток, не затрагивая при этом здоровые ткани, что позволяет практически полностью избежать побочных эффектов.
Профилактика рака легких должна быть направлена на:
- борьбу с вредными привычками (отказ от курения или уменьшения количества выкуриваемых сигарет);
- борьбу с загрязнением окружающей среды;
- использование средств индивидуальной защиты на вредных производствах;
- профилактические флюорографические исследования легких с целью ранней диагностики рака легких и увеличения эффективности лечения.
Радикально излечить злокачественное новообразование можно путём удаления первичной опухоли и поражённых метастазами лимфатических узлов. С учетом распространённости процесса назначается хирургическое вмешательство либо осуществляется комбинированное или комплексное лечение, включающее химиотерапию, иммунотерапию, облучение и таргетное лечение. Аденокарцинома лёгкого в терминальной стадии лечится симптоматически.
Хирургическое лечение
В качестве монотерапии операция применяется у пациентов с неинвазивной или минимально инвазивной опухолью. В последнем случае при риске возникновения рецидива хирургическая методика дополняется радиолечением либо химиотерапией. Удаляются 1-2 лёгочные доли. При местнораспространённом раке выполняется пневмонэктомия. Одновременно иссекаются поражённые опухолевым процессом лимфатические узлы.
Консервативная терапия
Консервативные мероприятия включают облучение, химио- и таргетную терапию, лечение иммунными препаратами. Адъювантное применение ионизирующего излучения и химиотерапевтических средств осуществляется в послеоперационном периоде, направлено на уничтожение остатков новообразования. Неоадъювантная терапия назначается до операции для уменьшения опухолевой массы. Консервативное лечение также проводится пациентам с противопоказаниями к хирургическому вмешательству.
Запущенная аденокарцинома лёгкого с отдалёнными метастазами является неоперабельной и лечится консервативно. Пациентам с определёнными молекулярно-генетическими свойствами опухоли назначается таргетная терапия. С этой целью наиболее широко применяются ингибиторы тирозинкиназы и киназы анапластической лимфомы. К стандартным методам также относится иммунотерапия. Современные лекарственные средства «обучают» клетки иммунной системы распознавать опухоль и уничтожать её. Проводятся клинические испытания новых иммунотерапевтических препаратов.
Паллиативное лечение
Паллиативная помощь оказывается терминальным больным амбулаторно или в специализированном отделении – хосписе. Основной целью такого лечения является купирование тяжело переносимых симптомов заболевания и улучшение качества жизни пациентов. Огромное значение имеет адекватное обезболивание. Используются наркотические и ненаркотические анальгетики. При необходимости назначаются кашлеподавляющие препараты, бронхолитики, применяется длительная оксигенотерапия, оказывается психологическая поддержка.
Лечение аденокарциномы лёгкого имеет смысл только при начальных стадиях развития онкологического процесса. В целом тактика лечения выбирается исходя из локализации и степени поражения правого или левого лёгкого.
Как правило, лечение железистого рака может включать в себя следующее:
- операбельное вмешательство;
- лучевая терапия;
- химиотерапия.
Отдельно следует выделить хирургическое лечение. В зависимости от степени поражения используется один из следующих методов:
- сегментэктомия — удаление только поражённой части лёгкого;
- лобэктомия — удаление доли лёгкого;
- пульмонэктомия — удаление целого органа.
Виды операций при раке лёгкого Как правило, последний вид операбельного вмешательства используется только на третьей, иногда четвёртой стадии. Следует отметить и то, что операция не проводится, если метастазы находятся вблизи трахеи или у больного есть сопутствующие заболевания сердечно-сосудистой системы.
Медикаментозная терапия, как отдельный вид лечения, при такой патологии не применяется. Как правило, некоторые препараты врач назначает после операции для того, чтобы организм больного восстановился как можно быстрее. О применении средств народной медицины, в этом случае, не может быть и речи.
В лечении аденокарциномы можно ожидать результативности только при использовании комплексной терапии и индивидуального подхода к пациенту. Радикальное лечение подразумевает выполнение операции, химиотерапии и лучевой терапии различными схемами в зависимости от типа опухоли, размера и стадии.
Но основным методом радикального лечения остается по-прежнему операция. В зависимости от расположения опухоли и стадии удаляют:
- Целое легкое
- Одну или две доли
- Один или несколько сегментов
Радикальное лечение подразумевает не только лобэктомию (резекцию доли легкого с опухолью), но и удаление групп лимфатических узлов, клетчатки, соседних органов и тканей, если опухоль повредила их. Если радикальную операцию выполнить невозможно, для повышения продолжительности и качества жизни выполняют условно-радикальные и паллиативные вмешательства. Удаление опухоли хирургическим путем нецелесообразно если:
- Опухоль распространилась на соседние органы и ткани, когда технически удалить раковые массы полностью невозможно
- Присутствуют отдаленные метастазы в другие органы
- Выраженная дыхательная или сердечная недостаточность
- Состояние больного тяжелое
В Израиле и Германии можно выполнить удаление части легкого эндоскопическим методом, что ускоряет восстановление и переносится пациентом намного легче.
На ранних стадиях можно разрушить маленькую опухоль при помощи радиочастотной абляции под контролем КТ или посредством замораживания ракового очага жидким азотом.
Вместо внешней лучевой терапии здесь активно практикуется прицельная внутренняя радиотерапия IMRT Rapid Arc, позволяющая повысить эффективность облучения примерно на 40%.
Если вас интересует лечение аденокарциномы легкого за рубежом, обратитесь к нам без промедления.
Как происходит диагностика болезни
Если рано начать диагностику и своевременно обнаружить болезнь, то можно обеспечить успешное лечение. Для онкологических заболеваний это существенно улучшает прогноз. Естественно, здесь многое будет зависеть от человека, обратившегося за помощью к врачу: если он будет выполнять все врачебные рекомендации, то вероятность успешного излечения будет максимальным.
Чтобы обнаружить болезнь, врач применяет такие методы:
- Рентгенография и рентгеноскопия. Это – наиболее простые способы диагностики, позволяющие заметить наличие в легких опасного образования. Часто может быть, что опухоль обнаружили у человека случайно.
- МРТ и КТ – это наиболее совершенные способы диагностики. Врач имеет возможность осмотреть легкие в разных проекциях и назначить необходимое лечение. Существует возможность обнаружить метастазы опухоли.
- УЗИ считается одной из главных процедур, рекомендованных пациенту для проведения диагностики. В настоящее время есть мнение, что оно недостаточно информативно для диагностики онкологических патологий.
- Чрезвычайно важным обследованием является биопсия. Без него сложно представить обнаружение онкологического процесса. По образцу для исследования можно выявить степень злокачественности опухоли. Одновременно больному делают бронхоскопию (это еще больше повышает точность результатов обследования).
Симптомы
Проявления заболевания зависят от клинической формы, размеров опухоли и характера роста, а также наличия метастазов. Общие (неспецифические) симптомы рака легкого, обусловленные раковой интоксикацией это:
- ухудшение аппетита и стремительное снижение массы тела (кахексия);
- длительный субфебрилитет (стойкое повышение температуры тела);
- быстрая утомляемость и слабость.
Первичные симптомы рака легкого, обусловленные ростом первичного опухолевого узла:
- сухой кашель;
- кровохарканье, реже профузное легочное кровотечение;
- учащенное и затрудненное дыхание;
- боли за грудиной, усиливающиеся при кашле.
Вторичные симптомы рака легкого, связанные с распространением опухоли на соседние структуры и метастазированием:
- усиливающаяся осиплость голоса при поражении опухолью возвратного нерва;
- нарушение глотания (дисфагия) при поражении пищевода;
- отечность лица, набухание вен шеи, что связано с прорастанием опухолью верхней полой вены;
- увеличение в размерах шейных и надключичных лимфоузлов;
- костная боль;
- желтушность кожи и боли в правом подреберье при метастазах в печень;
- боли в поясничной области и появление крови в моче при поражении почек;
- головные боли, расстройства психики, очаговая симптоматика при метастазах в головной мозг.
Редкие симптомы рака легкого, которые обусловлены неспецифической реакцией организма на вырабатываемые опухолью биологически активные вещества (гормоны и нейромедиаторы). К ним относятся синдром Кушинга, увеличение СОЭ.
На раннем этапе развития неоплазия ничем себя не проявляет. Иногда присутствуют малые симптомы болезни, которым пациенты обычно не придают значения. Незначительная одышка и повышенная утомляемость списываются на другие причины. Позднее присоединяется болевой синдром, сухой или продуктивный кашель. Интенсивность грудной боли зависит от локализации и распространённости процесса. Наблюдается усиление болевого синдрома при глубоком вдохе, во время кашлевого приступа, смеха.
Больного чаще беспокоит сухой кашель, иногда выделяется жидкая слизистая мокрота. При некоторых формах аденокарциномы откашливается большое (2 и более литров в сутки) количество водянистой слизи. Прорастание опухолью кровеносных сосудов сопровождается кровохарканьем, лёгочным кровотечением. Затруднение дыхания сначала возникает только при значительной физической нагрузке, затем одышка постепенно нарастает, развивается выраженная дыхательная недостаточность.
При вторичном поражении плевры и перикарда появляются симптомы скопления жидкости в плевральной полости, сердечной сумке. Новообразование больших размеров иногда сдавливает или прорастает пищевод, вызывая дисфагию. Изредка аденокарцинома локализуется в области верхушки лёгкого и проявляется синдромом Горнера, изменением тембра голоса и интенсивными болями в плече. Больные железистым раком часто длительно получают лечение по поводу затяжной пневмонии.
При прогрессировании болезни наблюдаются признаки поражения удалённых органов, паранеопластический синдром. Наиболее часто аденокарцинома лёгкого сопровождается проявлениями гиперкальциемии. Больного беспокоят тошнота и рвота, сильная жажда. Пациент теряет вес, отмечаются симптомы дегидратации, запоры. Иногда обнаруживаются деформации концевых фаланг пальцев по типу барабанных палочек.
Учитывая то, что многие онкологические образования возникают на фоне хронических заболеваний, выделить специфические симптомы довольно сложно. По статистике, при аденокарциноме легких, больные обращают внимание на появление:
- Малопродуктивного, не приносящего облегчения кашля
- Наличие сгустков кровы или частей опухоли в мокроте
Важно не дожидаться, пока в мокроте появиться кровь, увеличатся лимфатические узлы, произойдет сильная потеря в весе. Эти признаки свидетельствуют о запущенности рака.
Беспричинный кашель, даже после перенесенного бронхита или воспаления легких, на протяжении 2-3х недель является поводом для обращения к пульмонологу, проведения рентгенографии органов грудной клетки и сдачи мокроты.
- Усиление кашля
- Кровохарканье
- Боль в грудной клетке
- Изменение голоса
- Потеря веса
- Снижение гемоглобина
- Отдышка
- Постоянная температура выше 37 градусов
- Увеличение регионарных лимфатических узлов
- Повторные беспричинные воспаления легких
Если аденокарцинома не диагностирована вовремя, к общим симптомам добавляются признаки поражения тех органов, где развиваются метастазы. Это может быть: головная боль, желтуха, боль в позвоночнике, отеки нижней половины туловища, боль в животе, запоры.
Прогноз (сколько можно прожить)
Рак легкого центрального типа характеризуется высоким процентом летальных исходов. Связана эта особенность с важностью дыхательной системы для организма. Человек может какое-то время жить после частичного удаления печени, почек, головного мозга, но остановка работы легких влечет за собой немедленную биологическую смерть.
Компенсировать пострадавшие функции легкого искусственными аппаратами как минимум невыполнимо, поскольку процесс дыхания, а именно воздухообмен, уникален. При ухудшении его страдают все основные факторы жизнедеятельности организма. Безусловно, больше шансов вылечиться есть у лиц, которые получили соответствующую помощь на начальных этапах рака легкого центрального типа. В остальных случаях о благоприятном прогнозе речь заходит довольно редко.
Перспективы на выздоровление у лиц, столкнувшихся с центральным раком легкого, обусловлены такими многочисленными аспектами, как стадия онкологического процесса, локализация опухоли, размеры новообразования, возраст и общее состояние здоровья пациента и пр.
Данное заболевание характеризуется агрессивным течением, поэтому прогнозы в его отношении крайне неблагоприятные. Рассмотрим, сколько положительных исходов регистрирует статистика при этом диагнозе.
| Стадия рака | Процент на выживаемость |
| ПЕРВАЯ | 80,00% |
| ВТОРАЯ | 40,00% |
| ТРЕТЬЯ | 20,00% |
| ЧЕТВЕРТАЯ | 0,00% |
Цифры, приведенные в таблице, приблизительные. Окончательный прогноз полностью зависит от результатов медицинского воздействия и реакции на него организма больного.
Профилактика
Наилучшие прогнозы при лечении даются, если у больного диагностируется 1–2 стадия заболевания. Проведение операции или одного из вышеперечисленных видов терапии даёт положительные результаты. Общая выживаемость составляет 60–70%.
При онкологическом заболевании на третьей стадии прогнозы не утешительны. Операция может привести к частичному выздоровлению. По статистике общая выживаемость при такой стадии рака составляет 20–25%.
Четвёртая стадия аденокарциномы лёгкого имеет крайне негативные прогнозы. Операция, в этом случае, не проводится. Терапия направлена только на поддержание жизнедеятельности человека. Выживаемость составляет 2–3%.
Предотвратить железистый рак лёгких гораздо проще, чем лечить. Чтобы свести к минимуму риск развития данного онкологического процесса, следует применять на практике такие правила профилактики:
- полный отказ от курения;
- избегание длительного нахождения в пыльных, плохо проветриваемых помещениях;
- своевременное и правильное лечение вирусных заболеваний;
- правильное питание;
- умеренные регулярные физические нагрузки;
- избегание контакта с опасными канцерогенами, к каковым относиться мышьяк, радон, асбест, никель.
Также не следует забывать о регулярном прохождении флюорографии. Это поможет на ранней стадии обнаружить заболевание, что даёт возможность вылечить его полностью. При первых же симптомах следует обращаться за медицинской помощью, а не лечиться самостоятельно.
Ранняя аденокарцинома лёгкого (преинвазивная, малоинвазивная стадии) при своевременном хирургическом лечении является прогностически благоприятной. Выздоровление наступает практически у 100% больных. Прогноз ухудшается по мере прогрессирования болезни. Выживаемость пациентов с патологией в последней стадии крайне низкая.
Когда нужно удалять легкое?
При поражении одного легкого и отсутствии противопоказаний к операции, проводится частичная (лобэктомия) или полная (пульмонэктомия) резекция органа. Хирургическое вмешательство нецелесообразно при терминальной стадии заболевания, поражении обоих легких, распространении метастазов в отдаленные участки тела и при общем ухудшении самочувствия пациента.


















